こんにちは⛄️川西の畑矯正歯科です。
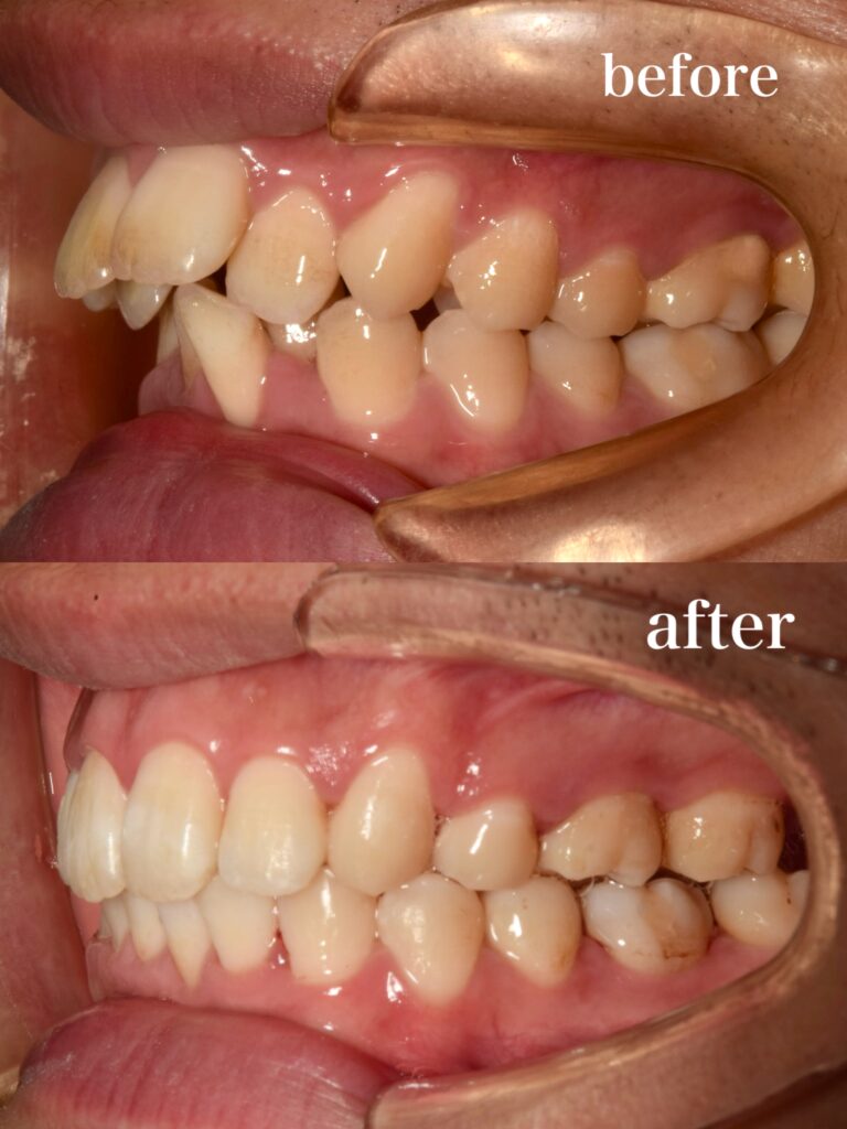
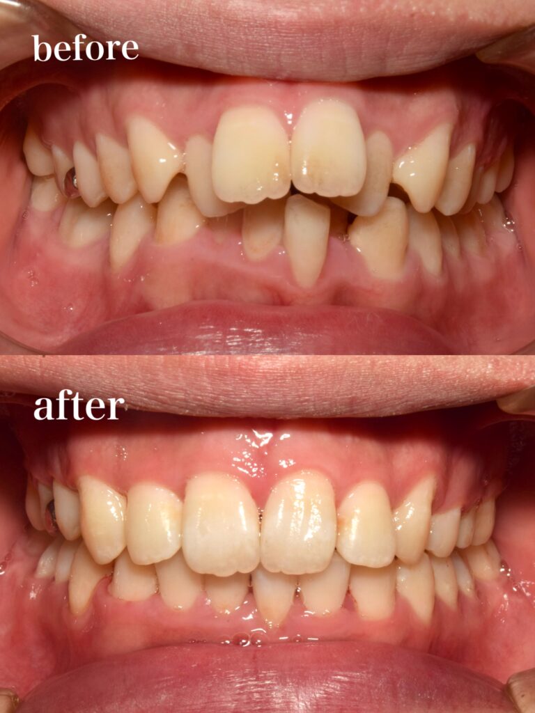
本日は、出っ歯とガタつき(叢生)が気になって来院された患者さまの矯正治療の症例をご紹介します。
治療前と治療後のビフォーアフター写真を見ていただくと、矯正の効果がよくお分かりいただけるかと思います。



🦷治療前 (before)
出っ歯の為 口が自然に閉じれない・前歯が前後に重なり合い噛み合わせも不安定な状態でした。
見た目の問題だけでなく、歯磨きがしづらく、虫歯や歯周病のリスクも高くなるケースです。
🦷治療後(After)
治療後は、歯並びが整い、自然で美しいアーチに改善されました。
咬み合わせも安定し、見た目だけでなくお口の健康状態も大きく向上しています。
患者さまからは「笑顔に自信が持てるようになった」と大変喜んでいただきました👏🏻
当院では、患者さま一人ひとりのお悩みやライフスタイルに合わせた治療計画をご提案しています。
「歯並びが気になる」「子どもの矯正はいつから始めるべき?」など、お気軽にご相談ください。