こんにちは🌞
川西市の川西能勢口駅前の畑矯正歯科です🦷✨
先日、装置が外れた高校生の患者さんとの会話で、ちょっと面白いやり取りがありました😊
院長が
「今、身長何センチや?もう伸びてないか?」と聞くと、
高校生の患者さん女の子が「170cmです!」と答えてくれて、さらに一言。
「もう伸びたら顎伸びる‼️」
しっかり理解してるやん!と思わず笑ってしまいました😂
院長は普段から、
「なんでこの治療をしているのか」
「このワイヤーにはどんな意味があるのか」
「成長と顎の関係」などを、しっかり説明しています。
こういう瞬間を見ると、きちんと説明することの大切さを改めて感じます。
院長の説明は、時々専門用語で難しいこともありますが、
「今なにをしているのか」をしっかり伝えてくれるので、安心して治療を受けていただけます。
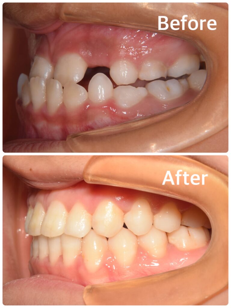
今回の患者さんは、受け口の改善のために、成長が止まるまで長い期間通ってくださいました。
その頑張りの結果、こんなに綺麗に整った歯並びに✨
その頑張りの結果がこちら👇✨

時間はかかる治療ですが、患者さんに協力してもらえれば綺麗に変わります🤩
これからも、一人ひとりに寄り添った治療を大切にしていきます🦷🌱
ご予約はお電話・WEBから受け付けております☘️