〜副院長とのコラボ治療〜
川西能勢口駅前の畑矯正歯科です。
当院では、一般歯科治療と矯正治療をに連携させることで、より質の高い治療を行っています。
今回は、副院長から紹介いただいた患者さまの症例をご紹介します。
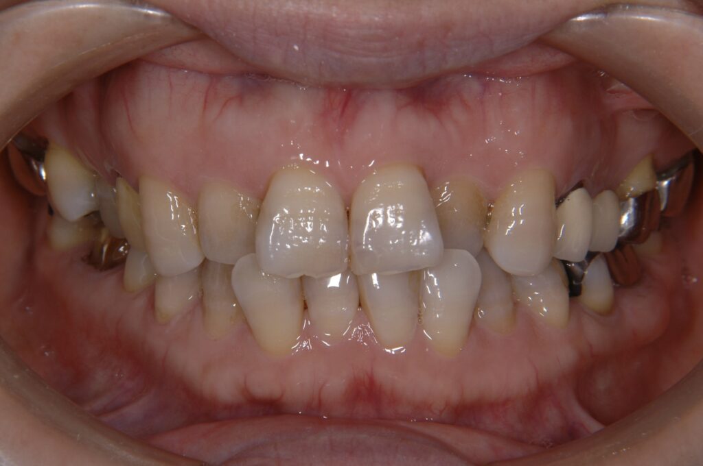
【初診時撮影】

患者様は、虫歯治療のため副院長のオフィスに通院されていましたが、副院長より「先に歯並びと噛み合わせを整えましょう」とご提案があり、ご紹介で当院を受診されました。
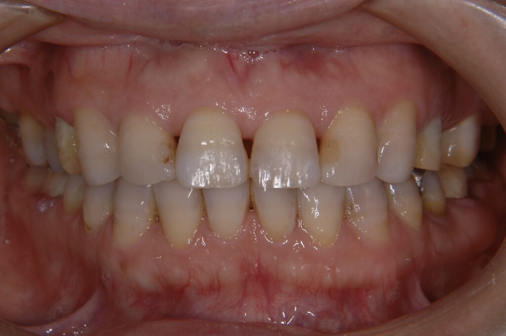
矯正治療によって歯並びと咬み合わせを丁寧に整えた後….
【矯正治療後】

矯正によって土台となる噛み合わせを安定させてから補綴治療を行うことで、見た目だけでなく、機能的にも長期にわたって良い状態を維持できています。
【補綴治療後】

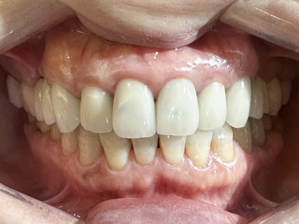
【長期経過】
この患者さまは治療後10年以上経過していますが、矯正治療で噛み合わせをしっかり整えたことで、歯列は安定し、後戻りも見られません👏🏻
一般歯科、矯正歯科の連携により、「見た目」だけでなく「噛む機能」も考慮した治療が実現できました。
今後も、患者さま一人ひとりに合わせた最適な治療を提供してまいります。