こんにちは!川西市の川西能勢口駅前の畑矯正歯科のスタッフです🦷
今回は、受け口(下顎前突)の治療ビフォーアフターをご紹介します☺️
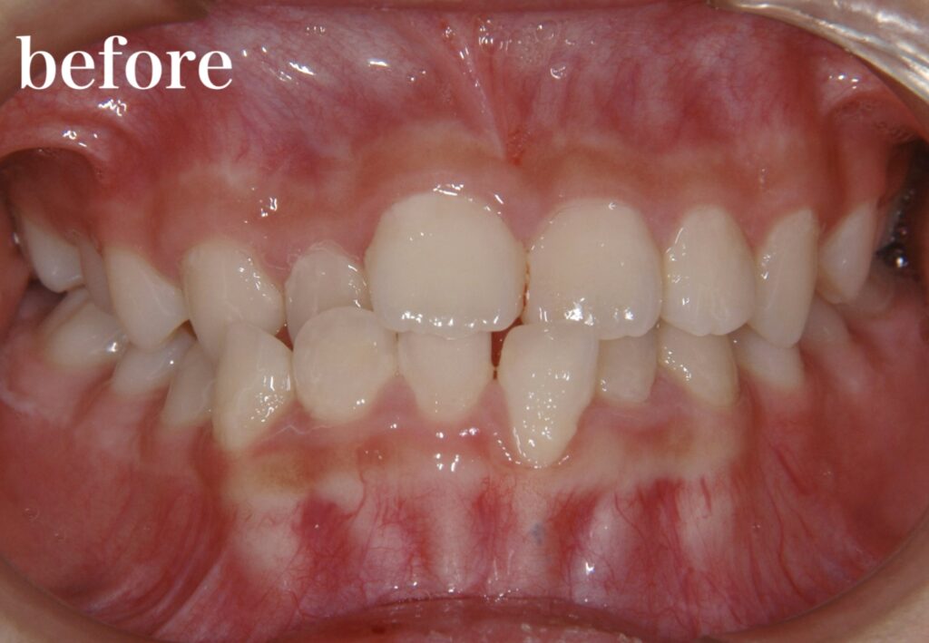
こちらは、成長とともに下顎が前に出てしまう「受け口」のケースです。

受け口は、見た目の問題だけでなく、発音や咀嚼にも影響を与えることがあります🤔
この患者さんは、成長期を活かして段階的に矯正治療を行いました😉
上顎を下顎の成長に合わせて引っ張りコントロールしながら噛み合わせを整えることで、
少しずつ歯並びや顎のバランスが改善され、最終的にはこんなに美しい噛み合わせへと導くことができました。👏🏻

治療前は前歯がうまく噛み合わず、見た目にも不安定な印象がありましたが、
治療後は前歯も奥歯もしっかりと噛み合い、見た目も機能も大きく改善されています。
受け口の治療は、成長期の治療がとても大切です❤️🩹
「うちの子の噛み合わせが気になる…」という方は、早めのご相談をおすすめします🌱
畑矯正歯科は年末改装のため 12/21(日)より 1/5(月)までお休みをいただいております。
新年は綺麗な診療所でご相談いただけます✨
歯並びでお困りの方は相談無料になりますのでお気軽にご連絡くださいね❤️🩹