
「うちの子、前歯が逆かも….?」
それ、反対咬合(受け口)かもしれません💦
成長期のタイミングで治療をスタートするとここまでキレイに改善できます💪
子どもの矯正は
“成長を味方にできる”のが大きなポイント。
放っておくと…
あごのバランスに影響することもあるので気になった時がご相談のタイミングです🦷
お子さまの将来のために今できることを一緒に考えましょう👏🏻

お知らせ|院長|スタッフ|ブログ

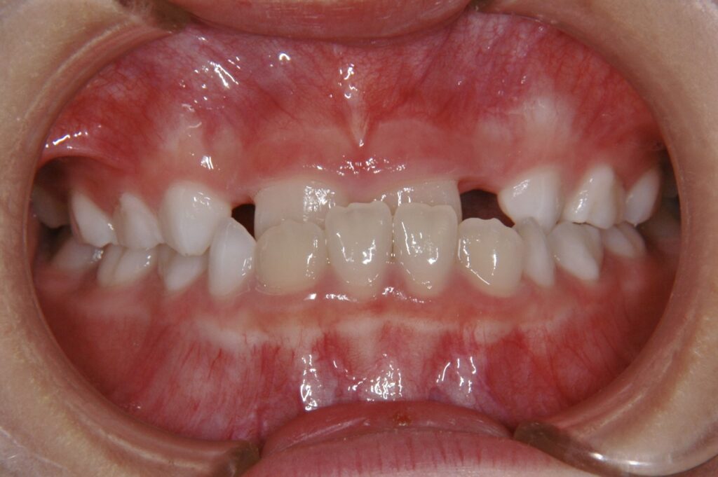
「うちの子、前歯が逆かも….?」
それ、反対咬合(受け口)かもしれません💦
成長期のタイミングで治療をスタートするとここまでキレイに改善できます💪
子どもの矯正は
“成長を味方にできる”のが大きなポイント。
放っておくと…
あごのバランスに影響することもあるので気になった時がご相談のタイミングです🦷
お子さまの将来のために今できることを一緒に考えましょう👏🏻
