こんにちは🌸
阪急川西能勢口駅徒歩1分の畑矯正歯科です🦷
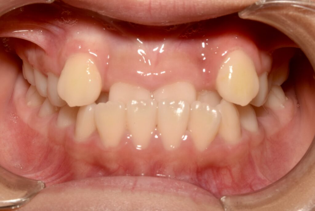
今回はお子さまの歯並びの症例をご紹介します。
前歯が噛み合っていないことを気にされてご相談に来られました。

このまま成長すると、歯並びや噛み合わせに影響が出る可能性があります。
今回は取り外し式の矯正装置を使用して治療を行いました。
(装置の写真)

装置をしっかり使用していただいたことで、
約2〜3ヶ月で噛み合わせが改善しました。

お子さまの矯正(Ⅰ期治療)は、成長を利用できるタイミングがとても大切です!
お子さまの歯並びが気になる方は、お気軽にご相談ください🦷✨