こんにちは、川西市の畑矯正歯科です。
今回は、実際に当院で治療を受けられたお子さまの矯正治療のビフォーアフターをご紹介いたします🦷
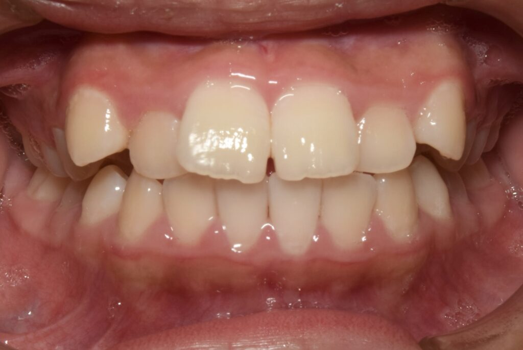
📸Before(治療前)

治療を開始したのは、お子さまの成長期のタイミングでした。
写真でもわかるように前歯の噛み合わない状態でしたので小臼歯の抜歯をして治療をおこないました。
この時期に無理な力をかけず、成長を見守りながら、適切な時期に本格的な矯正沿療をスタートさせていただきました👧
📸After(治療後)

約3年半の矯正治療を経て、前歯の隙間がしっかり閉じ、全体の歯並びも美しく整いました。
また、上下の噛み合わせも改善され、成長に合わせた治療を行うことで自然な仕上がりとなっています👏🏻
お子さまの矯正治療において、最も大切なのは「治療を始めるタイミング」です🧒👦💕
目の前の症状だけを見て治療を始めてしまうと、将来的に思わぬトラブルにつながることもあります。だからこそ、将来を見据えた計画的な治療が重要です。
畑矯正歯科では、お子さまの成長をしっかりと見極めながら、一人ひとりに合った最適な治療計画をご提案いたします。
当院は、阪急川西能勢口駅から徒歩1分、JR川西池田駅からも徒歩10分と大阪や神戸などからも通院しやすい アクセス抜群の好立地にあります。
矯正治療に関するご相談は、どうぞお気軽に畑矯正歯科までお越しください🦷👨⚕️🍃