こんにちは、川西市の畑矯正歯科です。
今日は、矯正相談でよくいただく質問を3つご紹介します。
① ワイヤー矯正って痛い?
装置をつけた直後や調整後に、2~3日ほど違和感が出ることはありますが、多くの方はすぐに慣れます。
② ワイヤー矯正って目立つ?
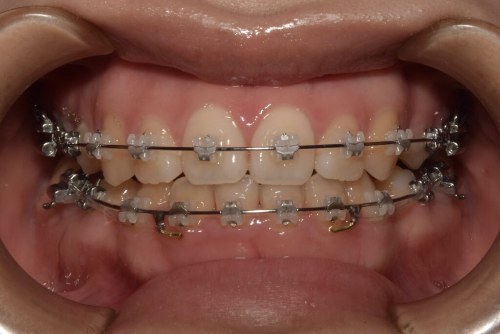
☝️目立ちにくい装置もあり、しっかり歯磨きしていると、装置も意外とキレイに見えます🦷✨
「思ったより気にならない」と言われることが多いです。
当院の装置はこんな感じですね↓🦷✨
前歯は歯に近い色の装置が主流です😄


③ マウスピース矯正とどっちがいい?
それぞれに向き不向きがあります。
ワイヤー矯正は、細かい調整や噛み合わせの仕上げが得意です♪
矯正治療は不安があって然です。
気になることは、どんなことでもご相談ください。