阪急川西能勢口駅前にある畑矯正歯科です🚃
今日は反対咬合(受け口)でご相談に来られたお子さんで、今回はアダムスの矯正床(写真下)を使用してキレイな歯並びになられた症例をご紹介いたします🦷✨

こちらは取り外しが可能なため、清掃性に優れ、虫歯リスクも低減できます。写真にあるように、ワイヤーと透明のレジン床の構造が歯を理想的な位置に誘導さることができます👏🏻
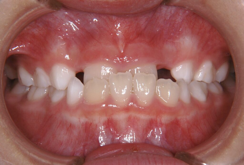
初診時は、前歯のかみ合わせが逆になっておりました。
初診時写真↓

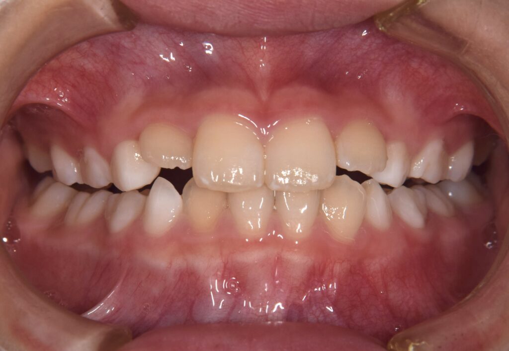
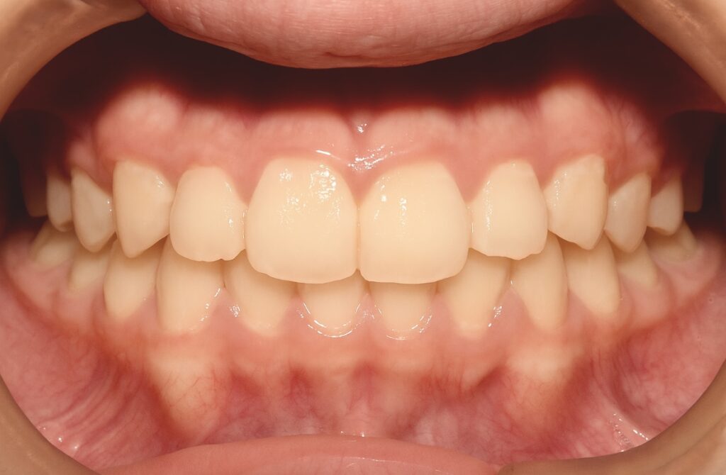
毎日コツコツと使っていただいた結果、前歯のかみ合わせが改善し、理想的な位置に整いました。

その後の経過も良好で、このお子さんは本格的なワイヤ一矯正をせずに、小児矯正のみで治療を終えることができました👏🏻

当院ではプレオルソ・急速拡大装置・アダムスの矯正床など 様々な治療を患者様に合わせて提供しています!
お子さま一人ひとりの成長に合わせた最適な矯正プランをご提案しております。「いつ始めるべき?」「うちの子に必要!?」といったご相談もお気軽にどうぞ。