こんにちは☺️
川西能勢口駅前の畑今日歯科です。
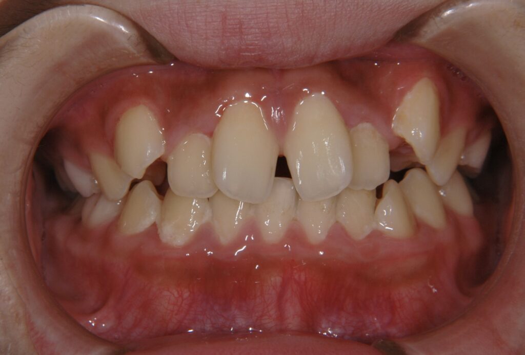
今日は矯正治療の症例をご紹介します🦷🌸
上の前歯にガタつきがあり、歯が重なっている状態でした。

こういった歯並びは、見た目だけでなく歯磨きがしづらく、むし歯や歯ぐきのトラブルの原因にもなりやすいです💦
矯正治療後は、前歯のガタつきが改善されて、スッキリきれいな歯並びに✨
見た目の変化はもちろん、歯磨きもしやすくなります!

当院では、すべての患者さまにセファロ(レントゲン)撮影を行い、
院長が一人ひとりしっかり計測・分析をしてから治療計画を立てています🦷
↓院長がすべての患者様のレントゲンをトレース(レントゲンを写し書き)しています👏🏻

目に見える部分だけでなく、骨格や歯の位置までしっかり確認しているので、安心して治療を受けていただけます☺️
院長のブログは
歯並びが気になる方は、お気軽にご相談ください♪