こんにちは👋
川西能勢口駅前 東出口より徒歩1分の畑矯正歯科です。
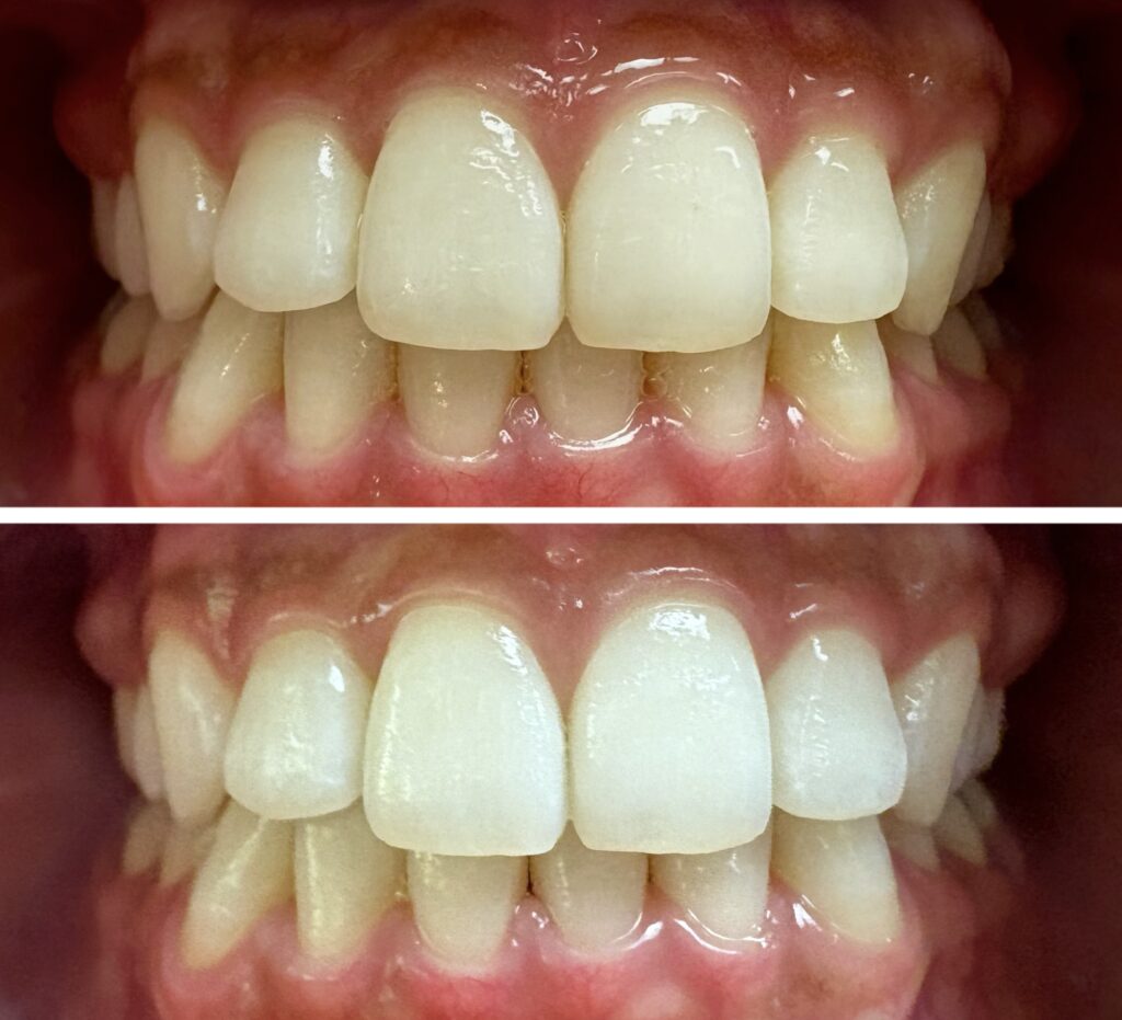
本日は空いている時間を使って、オフィスホワイトニングの総合実習を行いました✨
最近では「ホワイトニングをしてみたい!」という若い世代の患者さまの声が増えてきています。
今回は、歯科衛生士の後輩の歯をお借りして、実際にオフィスホワイトニングを行いました。
もともと白くてきれいな歯でしたが、さらに透明感のある白さへと変わりました👏🏻✨
ビフォーアフターはこちら💁♀️↓

オフィスホワイトニングは こんな方におすすめです🦷✨✨
・結婚式💒 成人式・卒業式などのイベント前に一気に白くしたい方に。
•自然な白さでワントーンアップしたい方に✨
・補綴処置(セラミックの歯を入れるなどの)前に他の歯を白くしておきたい方に🍃
当院では、オフィスホワイトニング+ホームホワイトニングの併用で、さらに美しい白さを長持ちさせるプランもご提案しています🦷✨
今回、オフィスホワイトニングを終えた後輩が、引き続きホームホワイトニングも併用して体験してくれることになりました✨☺️
来週のブログでは、そのビフォーアフターの写真を掲載する予定ですので、ぜひご覧ください☑️
矯正治療受けておられない方もホワイトニングのご相談お待ちしております🌼