川西市・川西能勢口駅前の畑矯正歯科です。
今日のブログは、いつもの矯正治療とは少し違うお話をしようと思います。
先日、当院で矯正治療を終えられた患者さまが、副院長に「歯のお悩み」でご相談してくださいました。
その患者さまは、
今年の夏にご結婚式を控えていらっしゃるそうで
「前歯の神経を取った歯の色が黒ずんできたのとその歯の歯茎の色も気になる🙃」
とのご相談でした。
まずは原因をしっかりチェック✔️
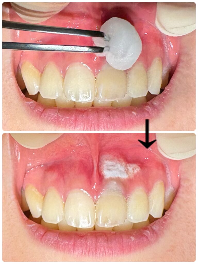
薬液を歯ぐきにてて確認すると、歯ぐきの中に膿がたまっている状態が分かりました。↓

ここからが副院長の本領発揮です。
今回行ったのは、
ラバーダム防湿を使った無菌的な根っこの治療(根管治療)🦷✨
治療する歯だけを完全に隔離することで、唾液や細菌が一切入らない状態を作ります。

✔️治療中に雑菌が入らない
✔️根の中までしっかり見える
✔️精度の高い治療ができる
..と、実はかなり技術が必要な治療方法なんです👏🏻
前歯の中を開けてみると、
以前の治療で黒く変色した部分がしっかり確認できました。

そこを丁寧に清掃・消毒し、根の中をきれいに整えて完了☑️

通常、根っこの治療は
「毎週通って少しずつお掃除」が必要なことが多いですが、
無菌状態で徹底的に治療できるため、今回は1回で終了しました。
根管治療により、他の歯より白くなり、患者様も驚かれてました🫢他の歯のホワイトニングを頑張りますと言っておられました🦷✨

次回は、
黒くなった歯ぐきの色を改善する治療へ進みます。
大切なイベントを前に、
「ちゃんと治したい」「きれいにしたい」
そんな気持ちに、技術で応える治療をこれからも副院長と行っていきます🙋♀️👨⚕️✨