お問い合わせ アクセス Instagram スタッフブログ

お知らせ|院長|スタッフ|ブログ

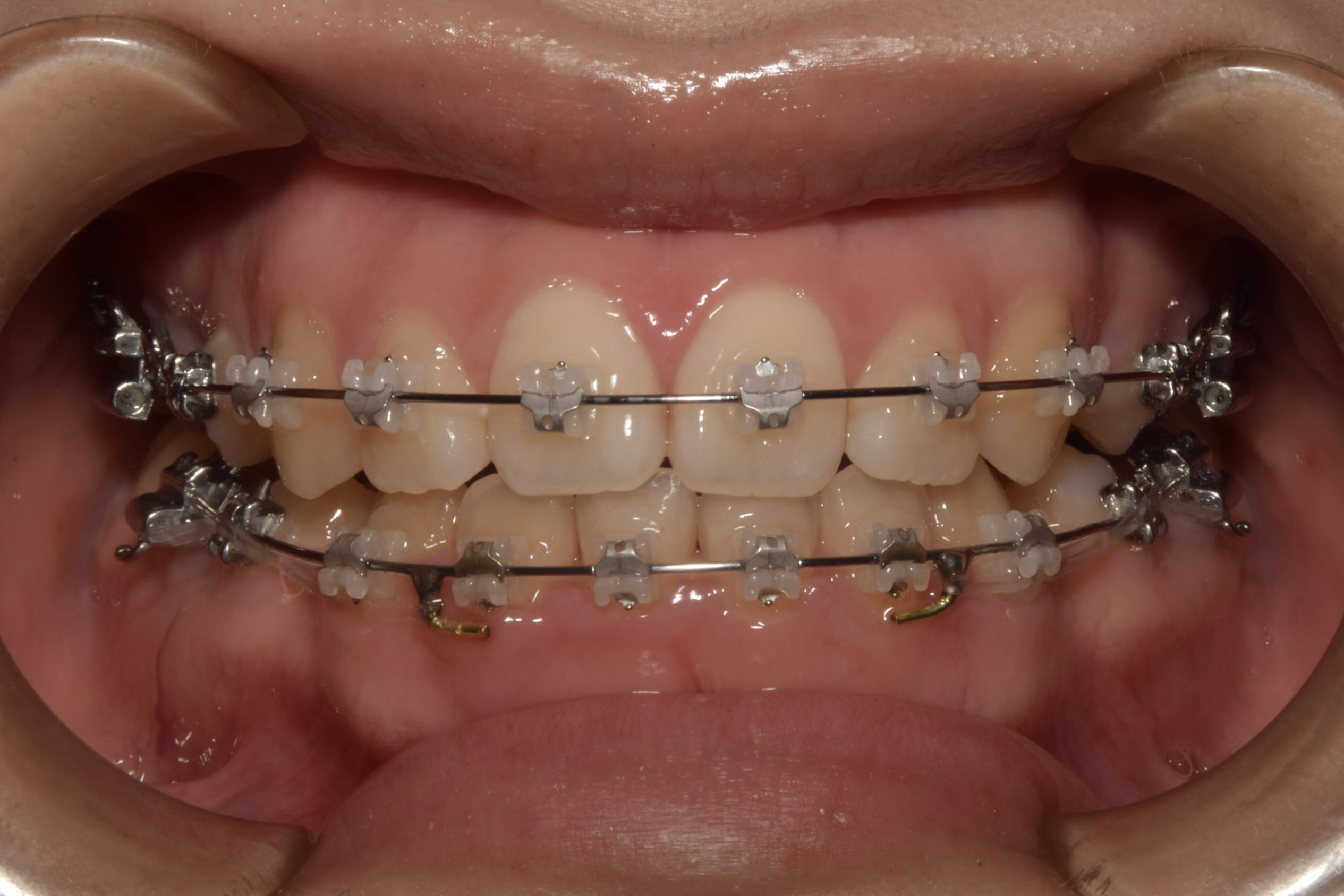
ワイヤー矯正のメリット!

こんにちは。
川西能勢口駅前の畑矯正歯科です。

矯正治療にはさまざまな方法がありますが、
当院はワイヤー矯正治療を中心に行っています!

ワイヤー矯正のメリットは、まず装置の取り外しが不要なことです。


自己管理に左右されにくく、治療計画通りに24時間しっかり歯に力が加わる治療法です。

また、幅広い症例に対応できるのも特徴です。
歯並びだけでなく、噛み合わせや歯の傾きなど、細かな調整が可能です🔨

さらに、ワイヤー矯正では
歯の根の向きまでコントロール(トルク)することができます👏🏻
これにより、見た目だけでなく、噛み合わせが安定し、後戻りしにくい仕上がりを目指せます。

当院では「歯を並べる」だけでなく、
しっかり噛めることを大切に矯正治療を行っています。

矯正をご検討中の方は、

ぜひ無料相談にお越しください🦷✨

ページ上部へ戻る
072-759-4187