こんにちは😊
阪急川西能勢口駅前の
畑矯正歯科です。
今日は子どもの矯正治療のお話です。
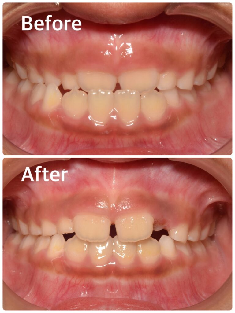
「受け口が気になる」とご相談に来てくれた女の子👧
今回は
マウスピース型の機能的矯正装置
プレオルソを使用しました。
すると…
なんと約2ヶ月で
受け口の噛み合わせが改善✨

毎日、夜寝るときにきちんと装着してくれていました👏
お母さんのお話では
「たまに鏡で自分の歯をチェックしてるんです☺️」とのこと。
子どもながらに
“変わってきている”のが嬉しいんですね。
さらに
「写真の写りも変わったんです!」と
とても喜んでくださいました📸✨
噛み合わせが整うと
見た目の印象も自然と変わります。
子どもの受け口は
早めの対応がとても大切です。
気になる方は
お気軽にご相談くださいね😊