こんにちは、畑矯正歯科のスタッフです♪
当院で行った“矯正治療”と、副院長の仕上げとして行われた「補綴治療(ほてつちりょう)」のbefore afterの症例をご紹介します!
患者様は副院長のところで働いていた衛生士さんです☺️
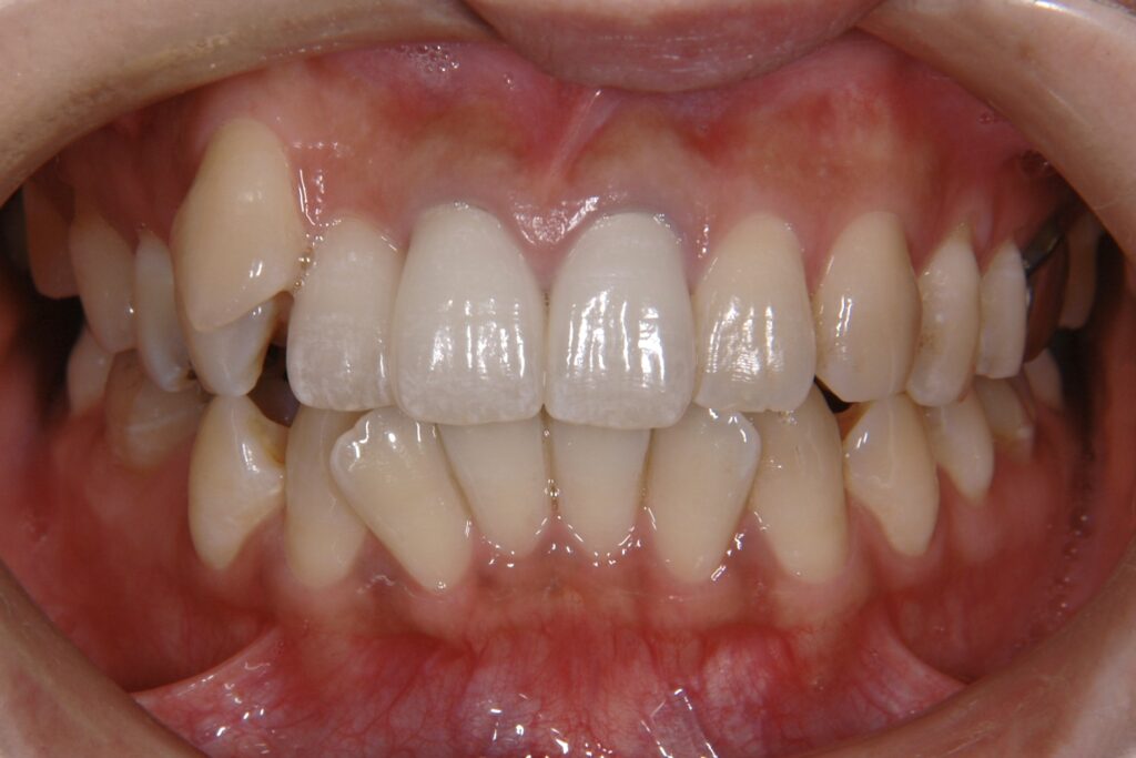
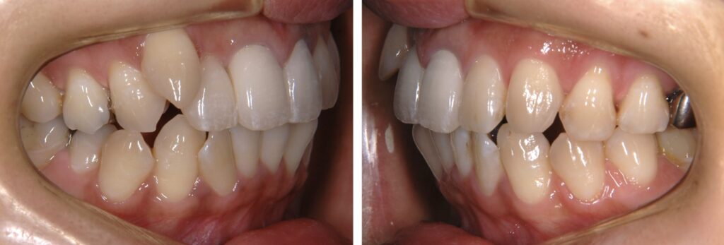
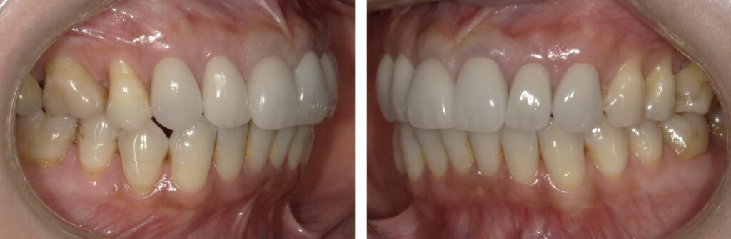
初診の時の写真はこちら↓


歯列のガタつきや咬み合わせのズレを一つずつ丁寧に整え、見た目の美しさはもちろん、機能面でもしっかりと噛める状態を目指しました👏🏻
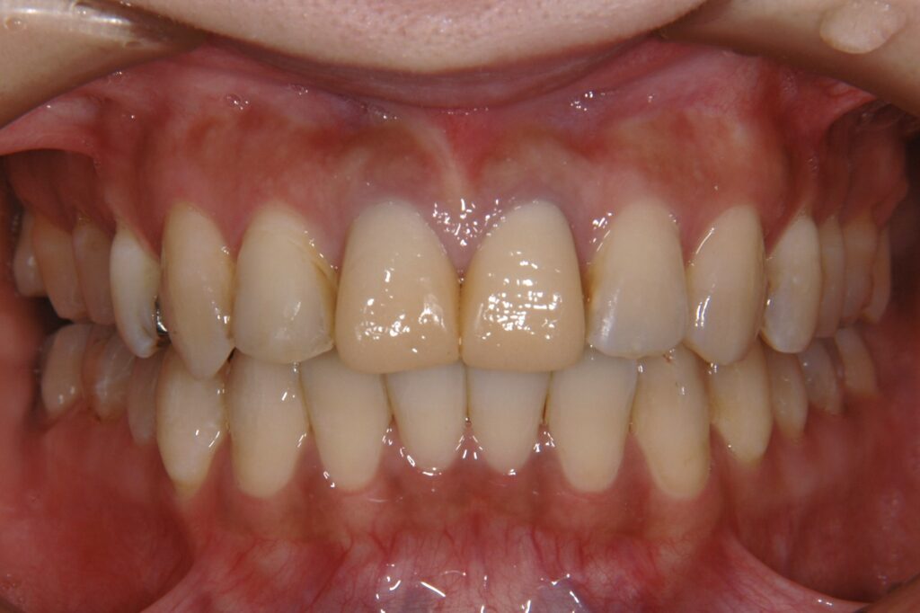
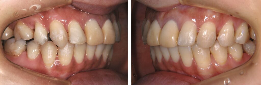
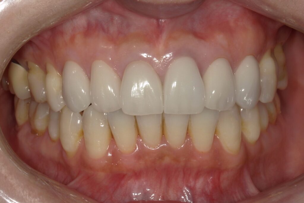
矯正治療後の写真📸↓


矯正で咬み合わせをしっかり整えたあと、副院長の治療は歯を連結させず、すべて”単独”の被せ物で治療を行うことで、ブラッシングのしやすさ、見た目の自然さ、長期的な健康維持にもつながります。


また、矯正治療でしっかりと噛み合わせが整っているため、補綴治療後10年が経過しても、後戻りや不具合は一切なしなのです☝️
安定した咬合状態が長く続いているのも、矯正と補綴をバランスよく組み合わせた治療の成果です👏🏻
畑矯正歯科は他院との連携も大事にしています。
歯のことでお悩みの方は初回相談無料の畑矯正歯科にご連絡ください🦷🍃