こんにちは☔️
川西能勢口駅 東出口から徒歩1分の畑今日歯科のスタッフのブログです👏🏻
子どもの矯正は、
6年〜7年ほどかかることもあります。
乳歯と永久歯が混ざる時期に来院されると、
まずは「1期治療」として
取り外しの装置で顎の成長をコントロールします。
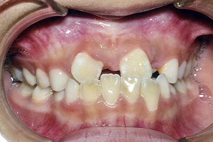
↓まだ乳歯がある混合歯列です

その後、永久歯が生えそろってから
ワイヤー矯正(2期治療)に移行します。
このように段階的に治療を行うため、
トータルで長期間になることがあります。
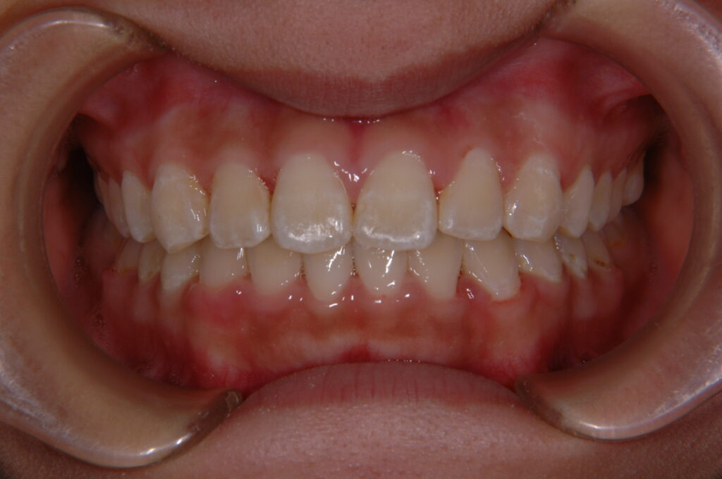
↓トータル 6年かかりました😳

受け口だったので1期治療からの早い対応でこんなに綺麗に治りました🤩
ただし、すべての方に1期治療が必要なわけではありません🙅♀️
👉 受け口の場合は、きれいに治すために早期の治療がとても重要です。
気になる方は一度ご相談ください😊