こんにちは😃
川西能勢口駅前・徒歩1分の畑矯正歯科です。
今日は畑院長による矯正治療と副院長による補綴治療(被せ物・詰め物など)この2つを組み合わせた【コラボ治療】についてご紹介します👏🏻
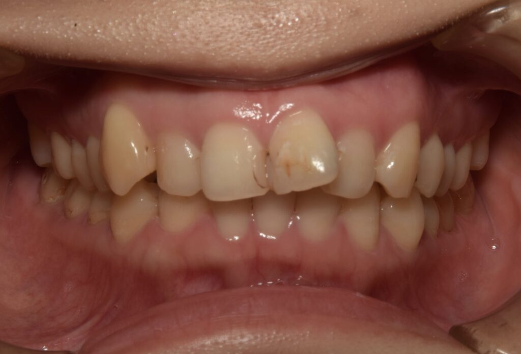
今回ご紹介するのは、副院長の紹介で来院された30代女性の患者さまです📝
下の歯に癒合歯があり、歯並びを整え、将来的に癒合歯部分の補綴治療を考えている🤔
そのため、まずは補綴治療の前に矯正装置で噛み合わせを整えたいという主訴でした。



矯正治療の途中、
歯磨きが十分にできていなかったこともあり、矯正装置を外した際に虫歯が多く見つかってしまいました。
私たちスタッフ側も、「矯正中の口腔ケア指導」についてまだまだ知識とサポートが足りなかったと反省しています。
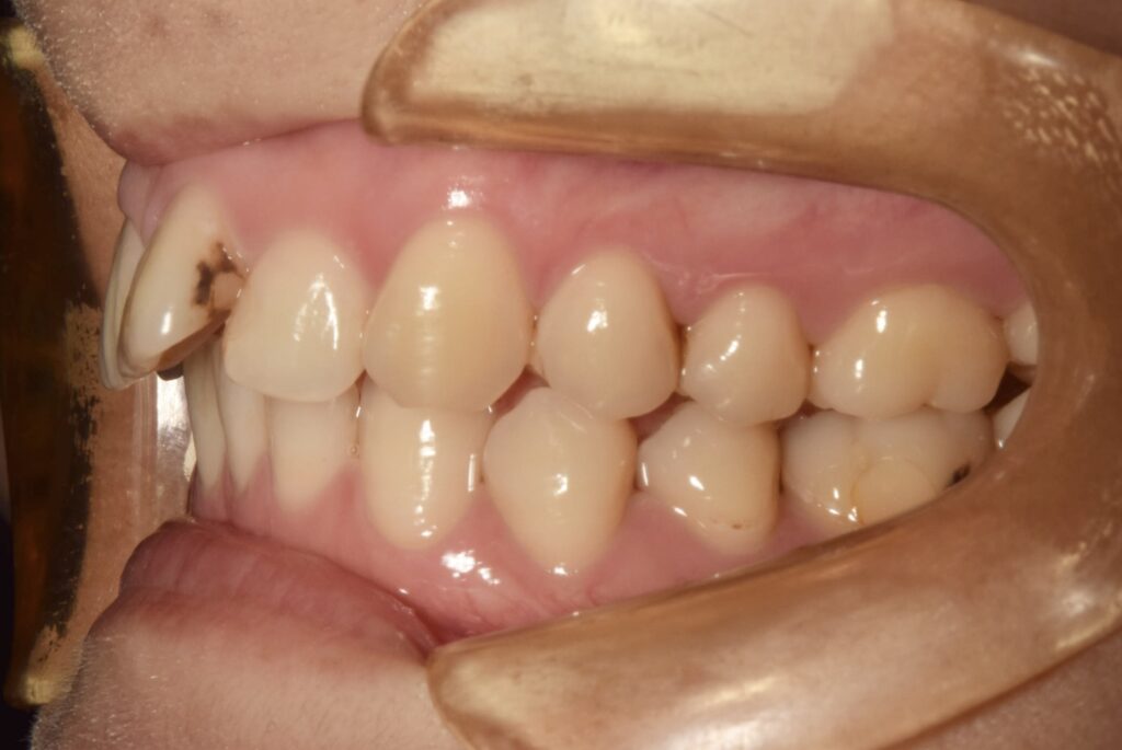
矯正→補綴→最終経過

その後、
虫歯治療・癒合歯の補綴治療を行い、現在は最終的な経過観察段階に入っています。

とても綺麗な補綴が入りました👏🏻✨🦷
噛み合わせが合っていない状態で補綴を行うと、
▪️被せ物が割れる
▪️削れる
▪️他の歯に負担がかかる
といったトラブルが起こりやすく、結果的に悪循環になってしまいます。
先に矯正をすることで
噛み合わせを整え力のバランスを整えることで補綴治療が安定し長持ちします。
副院長がいつも
「畑先生の矯正は噛み合わせがしっかりしていて補綴が入れやすい」と話してくれます。
実際、噛み合わせが悪いと補綴した歯でも割れたり、削れたりするリスクがあります‼️

歯を長持ちさせるためにインプラントや被せ物などの治療を行う前に、まずは矯正で噛み合わせを整えること☝️これが、歯を長く健康に使うための大切なポイントです🦷✨
追記:矯正中の虫歯予防について
矯正装置を外したときに「虫歯だらけ..」とならないよう、現在は副院長からも指導を受けながらスタッフ全員で口腔ケアについて勉強中です。
矯正後・虫歯ゼロを目指して患者さまと一緒に頑張っていきたいと思います。