こんにちは🌞
阪急沿線・川西能勢口駅前にある畑矯正歯科のスタッフです🫣
実は昨日、ブログをサボってしまいました…..。
というのも、
インスタグラムのリール動画作成に追われていて、気づけば1日があっという間に過ぎてしまいました😅
サクッと動画を作れる方、すごいですね….😉
完成したと思っても「やっぱりここ直そう」と何度もやり直しで、
結果ほぼ丸一日かかってしまいました😨
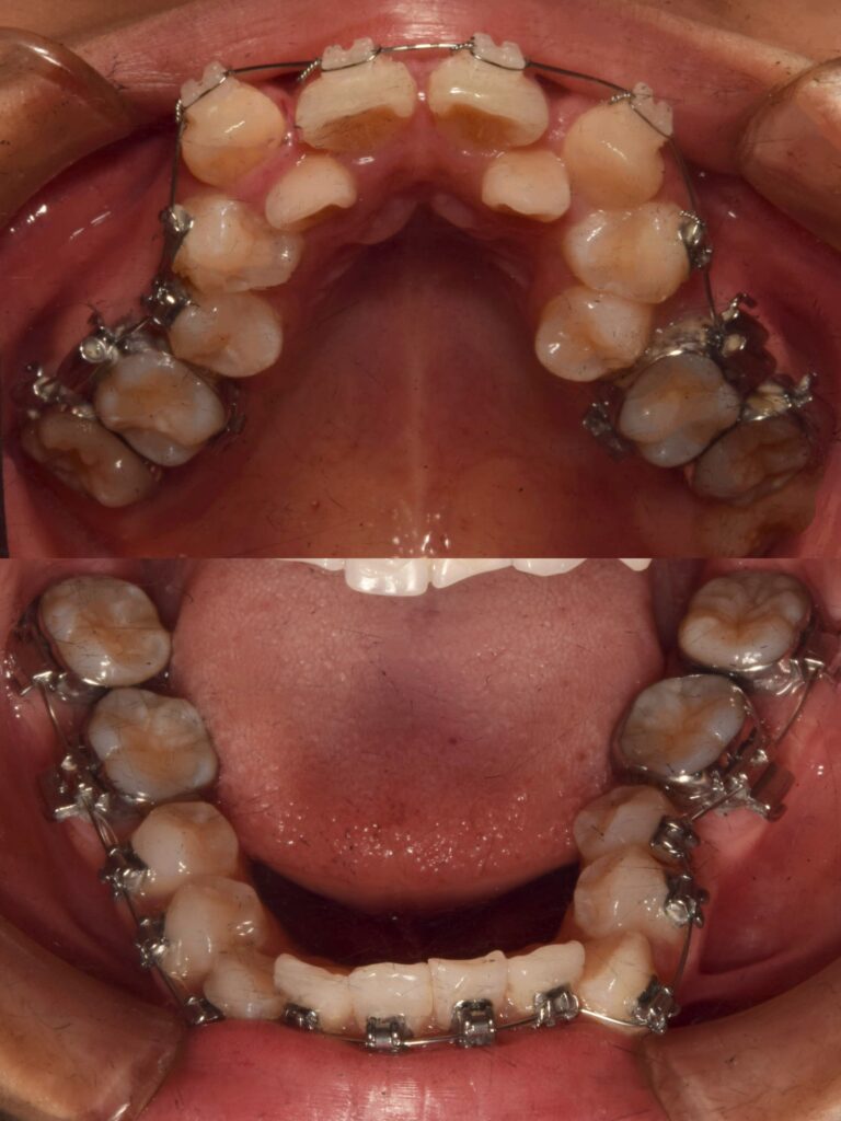
今回のリールでは、矯正治療のビフォーアフターを載せています💫

かなりガタガタだった歯並びでも、矯正治療できちんとここまでキレイに整います✨✨
よかったら、
畑矯正歯科のインスタグラムもぜひ覗いてみてくださいね🙃